Wenn im Sommer Training und Turniere anstehen, bedeutet das für Pferd und Reiter: Konzentration, Präzision…
Für viele Westernreiter gehört sie (noch) nicht zur Grundausstattung – dabei kann sie Training und…
Endlich wird es wärmer, die Natur erwacht, und die Weiden leuchten in saftigem Grün. Dein…
AMERICANA 2025: Die Kunst der feinen Verständigung: jetzt Tickets für die Abendshows am Mittwoch und…
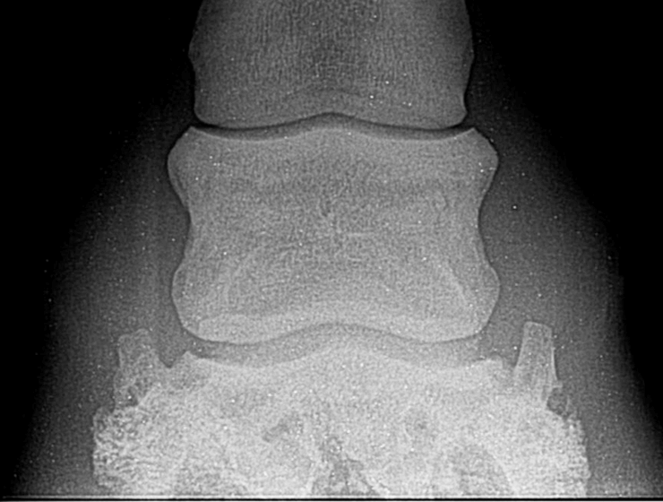
Podotrochlose (Hufrollenentzündung) beim Westernpferd: Ursachen, Diagnose und Behandlungsansätze Die Podotrochlose, im Reiteralltag oft als Hufrollenentzündung…
Die Ankaufsuntersuchung beim Pferd Der Kauf eines Pferdes ist eine bedeutsame Entscheidung und meist eine…
Pressemeldung Messe Friedrichshafen, 3. bis 7. September 2025 Als die Macher der AMERICANA diesen Event…
Der Begriff Mauke beschreibt eine Dermatitis, also eine Entzündung der Haut, im Bereich der Fesselbeuge.…
Pferdemessen 2025 – Ein Highlight für Dich und Dein Pferd Das Jahr 2025 bringt für…









